Implantdentistry and related topics
created for education and demonstration purposes
Seiten
Startseite
Freitag, 21. Mai 2010
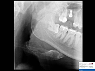
Internal sinus elevation - immediate implant placement - socket grafting
Keine Kommentare:
Kommentar veröffentlichen
Neuerer Post
Älterer Post
Startseite
Abonnieren
Kommentare zum Post (Atom)
Keine Kommentare:
Kommentar veröffentlichen